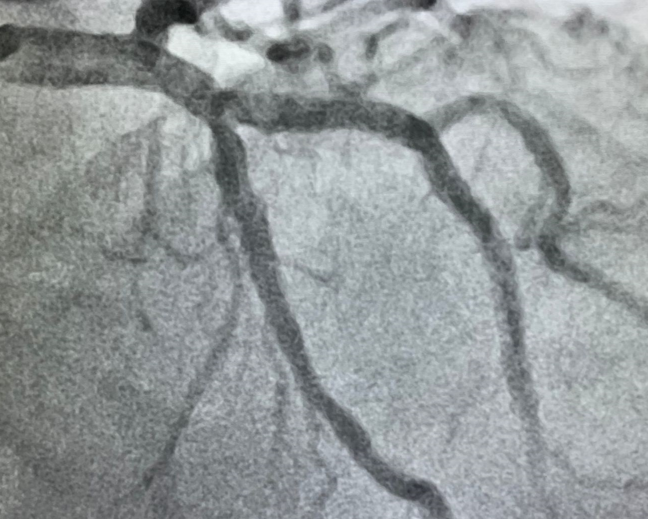
O Hospital Moriah acaba de entrar em um novo nível na cardiologia intervencionista. Essa semana realizamos um procedimento, trazido para o Brasil há 4 meses, para desobstrução de artérias com lesões severas e muito calcificadas que impedem a realização da angioplastia arterial (tratamento minimamente invasivo das artérias entupidas, que podem levar ao infarto, entre outras complicações).

A angioplastia arterial é um tratamento já bastante disseminado para esses casos, onde se coloca dentro da artéria entupida um artefato, semelhante a uma mola, chamado de stent, que abre novamente a artéria para a passagem do sangue. Mais recentemente, passamos a usar os stents farmacológicos, ou seja, que liberam progressivamente medicações para tratar as paredes da artéria e evitar nova calcificação.

O Shockwave é um equipamento de litotripsia intravascular (um pequeno cateter que segue por dentro da artéria até a lesão), que emite ondas de choque que quebram o cálcio acumulado e que está obstruindo a artéria.

Dessa maneira, a equipe médica pode entrar com o stent que será implantado e passará a liberar a medicação que vai evitar novas obstruções.

Artérias muito comprometidas não conseguem receber o stent, limitando as opções de tratamento do paciente.

O uso do Shockwave não altera a recuperação do paciente e nem o tempo de internação. O primeiro caso operado no Hospital Moriah foi coordenado pelos Drs. Leonardo Seli Llorente Aguilera e Gabriel Dodo e o paciente já teve alta e passa bem.

Este procedimento é realizado pelo Instituto de Doenças Valvares do Hospital Moriah.


Compartilhe nas redes sociais

Você também poderá gostar de ler...

Férias e queimaduras

Que nas férias os acidentes domésticos aumentam, ninguém tem dúvida. E não é só com crianças. As pessoas cozinham mais,…

Read More

Programa de Aprimoramento em Cirurgia Ginecológica Minimamente Invasiva

O Hospital Moriah, através de uma parceria com o Moriah Institute of Science and Education (M.I.S.E.), abre as…

Read More

A menopausa, alimentação para o cérebro e ritmo de vida

Com o aumento da expectativa de vida e a atuação da mulher na sociedade, a menopausa passa a ter cada vez mais…

Read More

Privacy Preference Center